泰康拜博

医生团队

在线咨询

优惠活动

院区分布

  首页 > 牙齿修补 >

上海修复牙齿的3大方法

   牙齿修复学的基本内容是:在清除已经破坏或严重削弱的牙体组织的基础上,根据固位、抗力及保护牙髓-牙本质器官的原则制备牙齿;后,以特定材料通过一定的程序恢复其固有形态和功能。
 
  一、树脂修复
 
  树脂修复是指因龋齿、楔状缺损、外伤等造成牙体组织缺损者,使用复合树脂材料进行修补,以恢复其外形和功能。充填后的牙齿逼真,几乎看不出是修补过的。树脂类充填材料可以用于前后牙,称牙色材料,树脂修复有赖于良好的粘接修复技术。
 
  1.树脂修复的4大优点:
 
  A. :牙体缺损几乎不用备牙便具有超强的粘接力。并且符合现代口腔医学 理念。在做贴面及牙体缺损的过程中仅仅需要全瓷贴面备牙量的1/2即可。
 
  B.逼真:因其分层固化,所以拥有天然牙对于光线的反射及折射,做出来的修复真假难辨,肉眼几乎无法察觉。适合前牙美学修复。
 
  C. :几乎所有龋齿充填项目及小部分牙体缺损都可以随治随走。
 
  D.高强度:复合树脂无机物填,表面处理部分具有高折射率的氧化锆,内含有高折射率的新型玻璃填料。所以拥有超高强度。[3]
 
  2.缺点:价格较普通充填材料稍贵。
 
  适用范围:
 
  适应范围广泛几乎可以用于所有的牙体缺损。

 
点击在线问答 | 免费通话
 
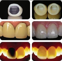
  二、全瓷修复
 
  全瓷修复是无金属瓷修复的统称,修复体不再使用金属,而采用与牙齿颜色相近的高强度瓷材料制成,因此较金属基底烤瓷修复体更美观,半透明度与天然牙近似,修复后牙龈边缘表现更加自然,可达到仿真效果,且具有对周边组织无刺激等优点,已被广泛用于临床。全瓷修复弥补了金属烤瓷技术的诸多缺陷,且具良好的牙齿美容功效。
 
  全瓷修复比传统修复的优势在于:
 
  1、全瓷修复可以对人的牙齿进行个性化调整。但价格比传统修复要高。
 
  2、做全瓷牙的朋友可以提前看到修复的效果。整个修复过程可以跟医生直接交流。
 
  3、全瓷牙的生物相容性好,不刺激口腔组织,易清洁。
 
  4、色泽形态逼真,咀嚼功能、稳固性都非常接近真牙。不会出现崩瓷、黑线等现象。


 

 
  适应症
 
  1、镶复缺牙:关于缺少的牙齿,运用缺牙前后的牙齿做固位牙,加上缺牙将多少个全瓷牙冠连在一同,将其粘固在固位牙上,便可以镶复缺牙。
 
  2、矫正牙齿发育异常:关于不一般的牙齿发育,如过小牙,牙间隙宽,个别牙不齐,釉质发育不全等,这些经过全瓷牙修复后可以把牙齿的形状、色调恢复到理想形态。
 
  3、牙齿治疗后修复:许多牙齿治疗后会留下牙齿问题,如牙髓治疗后易形成牙齿变色,补料零落及牙齿折裂,选用全瓷牙修复可预防。
 
  4、修复牙齿发黄发黑的迹象:如四环素牙、氟斑牙、死髓牙等都可以通过全瓷牙的方式进行修复。
 
  5. 种植修复:种植体植入后,进行上部牙体的修复。


点击在线问答 | 免费通话
 
  三、烤瓷修复
 
  烤瓷熔附金属全冠又称金属烤瓷联合冠,简称金瓷冠,是瓷粉经过高温烧结熔附与金属内冠表面而形成的全冠修复体。
 
  烤瓷修复的4大特点:
 
  1、金瓷冠大的优点是美观效果和强度均较佳,结合了全瓷冠的美观和金属冠强度的优点
 
  2、形态逼真,形态问题和颜色一样,是大多牙齿美容失败的重要原因。
 
  3、烤瓷熔附金属全冠的制作需与患者本人的适合:不能千人一面,一定要依据患者的年龄、职业、肤色、喜好等诸多因素仔细判断、确定颜色和形状,做到个性化,才能算真正为患者做到美容。
 
  4、粘固对于美观也非常重要,粘固全冠可以用比如:3M ESPE RrlyXTM Unicem、RrlyXTM Luting系列均是不错选择。
 

 
  适用范围:
 
  1.美观要求较高者,前后牙均可采用。
 
  2.变色牙,不宜用其他方法修复者。
 
  3.畸形小牙、釉质发育不全等需要改善牙冠形态者。
 
  4.前牙错位、扭转等不宜或不能采用正畸治疗者,要求改善美观。
 
  5.根管治疗后经过桩核修复的残根残冠。
 
  6.单个牙牙体缺损的修复,也可作为固定义齿的固位体。
 
  7.牙周病矫形治疗的固定夹板。
点击在线问答 | 免费通话
 
  温馨提示:以上介绍的是关于儿童补牙要多少钱的内容,如果你想了解更多牙齿治疗的相关信息可直接拨打免费问答热像:400-003-0101
网站备案号:
医疗广告审查证明文号:
快速导航
牙齿种植
牙齿矫正
牙齿修复
洗牙洁牙
牙周治疗
儿童齿科
拔牙
根管治疗
补牙